[rev_slider home1slider]
Hoạt động chuyên môn
Những điều cần biết về phẫu thuật cắt amidan
Viêm amidan là căn bệnh khó chịu, có thể gặp ở mọi lứa tuổi. Tuy đây là một bệnh lành tính, nhưng nếu không chữa trị kịp thời và dứt điểm sẽ dẫn tới nguy cơ viêm nhiễm toàn bộ vùng họng, ung thư amidan, ngưng thở khi ngủ, viêm màng tim... Vậy viêm amidan có nên cắt không?
1. Bệnh viêm amidan là gì?
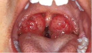
Viêm amidan là bệnh thường gặp trong các bệnh lý tai - mũi - họng, đặc biệt là ở trẻ em, trong khi đó người trưởng thành ít mắc hơn. Đặc biệt, viêm amidan thường tái đi tái lại, dễ biến chứng, gây ảnh hưởng đến sức khỏe cũng như thời gian học tập và làm việc của người bệnh.
Amidan là những tế bào lympho giúp bảo vệ cơ thể chống lại sự xâm nhập của vi khuẩn. Amidan cũng là nơi sản xuất ra kháng thể IgG cần thiết trong miễn dịch. Đây là hàng rào miễn dịch vùng họng - miệng, hoạt động mạnh từ độ tuổi 4 - 10 tuổi. Sau khi đến tuổi dậy thì mức độ miễn dịch của amidan sẽ giảm rõ và không còn hoạt động mạnh nữa.
Khi vi khuẩn ồ ạt xâm nhập và tấn công mũi họng, amidan phải chống lại quá mức dẫn đến tình trạng viêm sưng, đỏ. Hậu quả là tại amidan sẽ tập trung các “xác” vi khuẩn và “xác” bạch cầu, mô hoại tử hình thành các cục mủ rất hôi. Khi amidan bị viêm nhiều lần, khả năng chống chọi với vi khuẩn bị yếu đi. Lúc này, chính các ổ viêm nằm trong amidan lại là nơi khởi phát cho những đợt viêm vùng họng. Viêm amidan chiếm tỷ lệ cao ở trẻ em, thường do vi khuẩn gây ra.
2. Triệu chứng của viêm amidan cấp tính?
- Bệnh bắt đầu đột ngột với cảm giác gai rét rồi sốt nóng 39 - 40ºC, người mệt mỏi, nhức đầu, chán ăn.
- Bệnh nhân cảm giác nóng rát trong họng ở vị trí amidan sau đó đau rõ rệt dần, đau tăng lên khi nuốt, nuốt đau lan lên tai.
- Tăng tiết đờm rãi. Trẻ em thường thở khò khè, ngáy to.
- Hơi thở hôi.
- Viêm nhiễm có thể lan xuống hạ họng, thanh khí quản gây ho, khàn tiếng.
- Dùng đè lưỡi đè vào 2/3 trước lưỡi thấy toàn bộ niêm mạc họng đỏ rực, tăng xuất tiết, amidan sưng to và đỏ, trụ trước và trụ sau nề đỏ, nếu kèm các triệu chứng viêm long đường hô hấp trên như chảy nước mắt, nước mũi, xung huyết củng mạc mắt thì nguyên nhân thường gặp do virus.

- Trường hợp do nhiễm khuẩn sẽ thấy trên bề mặt amidan có nhiều chấm mủ ở các khe, có khi thành đám như giả mạc, lấy ra dễ dàng, tan trong nước.

- Thường kèm theo viêm họng, niêm mạc họng đỏ, thành sau họng xuất tiết nhày
- Hạch góc hàm sưng to và đau.
- Trường hợp viêm amidan cấp do liên cầu beta tan huyết nhóm A, các triệu chứng lâm sàng không có gì đặc hiệu nhưng lại có nguy cơ gây biến chứng viêm cầu thận, thấp khớp, thấp tim. Viêm amidan do liên cầu hiếm gặp ở trẻ nhỏ dưới 3 tuổi.
- Xét nghiệm máu: trong trường hợp nhiễm virus, bạch cầu có thể tăng hoặc không, tỷ lệ bạch cầu lympho tăng. Trường hợp nhiễm khuẩn: bạch cầu tăng cao, tăng tỉ lệ bạch cầu đa nhân trung tính, tốc độ máu lắng có thể tăng.
3. Biến chứng của viêm amidan?
Trường hợp viêm amidan cấp thông thường bệnh có thể thuyên giảm sau 3 - 5 ngày và tự khỏi. Bệnh dễ tái phát, trong các đợt tái phát có thể gây các biến chứng tại chỗ, biến chứng gần hoặc biến chứng xa:
- Tại chỗ: Viêm tấy, áp xe quanh Amidan, áp xe thành bên họng
- Biến chứng gần: viêm mũi, viêm xoang, viêm tai giữa, viêm hạch, viêm thanh khí phế quản.
- Biến chứng xa: Viêm nội tâm mạc, viêm khớp, viêm thận: chủ yếu do viêm Amidan do liên cầu beta tan huyết nhóm A. Tuổi thường xảy ra thấp tim là 5- 6 tuổi. Biến chứng thường xảy ra sau đợt viêm Amidan khoảng 10 - 30 ngày.
4. Viêm amidan nên làm gì?
Viêm amidan là một bệnh có thể gây ra nhiều biến chứng và di chứng nguy hiểm, cần phải được điều trị sớm. Viêm amidan nên bắt đầu bằng điều trị thuốc. Trong trường hợp viêm amidan cấp hoặc đợt cấp tái phát của viêm amidan mạn, mỗi đợt cần dùng thuốc khoảng 10 ngày, do các bác sĩ chuyên khoa tai mũi họng điều trị và theo dõi.
5. Viêm amidan có nên cắt không?
Không ít trường hợp khi thấy con bị viêm amidan vài lần, phụ huynh liền đến bác sĩ đòi cắt amidan cho trẻ để khỏi bị viêm. Quan niệm này sai lầm.
Trên thực tế, chỉ định cắt amidan là rất hạn chế vì amidan có nhiều lợi ích đối với cơ thể trẻ em. Đa số các trường hợp là viêm amidan nhẹ và không cần thiết phải cắt. Khi amidan bị viêm nhiễm nhiều, amidan hoàn toàn không còn lợi ích cho cơ thể thì mới nghĩ đến cắt bỏ. Người bệnh bị viêm amidan cần đến bệnh viện để được bác sĩ chuyên khoa điều trị đúng cách hoặc chỉ định cắt amidan nếu cần thiết.
Chỉ định cắt amidan trong những trường hợp sau:
- Viêm Amidan cấp trên 6 đợt trong 1 năm hoặc trên 3 đợt/ năm trong 2 năm liên tiếp mà phải dùng kháng sinh mới khỏi
- Viêm Amidan gây biến chứng tại chỗ: viêm tấy, áp xe quanh Amidan
- Viêm Amidan gây biến chứng kế cận: Viêm mũi xoang, viêm tai giữa, viêm thanh quản, viêm phế quản, áp xe hạch, viêm hạch mạn tính...
- Viêm Amidan gây biến chứng xa: Viêm cầu thận, viêm khớp, viêm cơ, màng tim...
- Viêm amidan mạn tính gây hôi miệng, sỏi amidan, đau họng dai dẳng.
- Amidan quá phát gây ảnh hưởng tới chức năng thở , phát âm, ăn uống, phát triển sọ mặt.
- Nghi ngờ khối u Amidan.
Chống chỉ định cắt Amidan
- Chống chỉ định tạm thời
- Đang viêm cấp, có biến chứng tại chỗ của Amidan
- Đang có nhiễm khuẩn cục bộ hay toàn thân
- Có bệnh mạn tính chưa ổn định
- Đang trong vụ dịch (nhiễm khuẩn đường hô hấp) ở địa phương như cúm, sởi, viêm não...
- Phụ nữ đang trong thời gian có thai, kinh nguyệt
- Cơ địa dị ứng như hen
Chống chỉ định tuyệt đối:
- Các bệnh về máu
- Bệnh suy tim, tâm phế mạn.
6. Lưu ý trước khi thực hiện cắt amidan
- Có thể cắt amidan ở bất kỳ lứa tuổi nào nhưng thường sau 4 tuổi. Tuy nhiên, có trường hợp trẻ nhỏ hơn vẫn phải cắt amidan khi amidan quá to, gây ra cơn ngưng thở trong lúc ngủ hoặc gây biến chứng.
- Không được cắt amidan ở bệnh nhân có rối loạn đông cầm máu bẩm sinh hoặc mắc phải (bệnh Hemophilia A, B, C; suy tủy, xuất huyết giảm tiểu cầu, ung thư máu...).
- Nên trì hoãn việc cắt amidan khi bệnh nhân đang có nhiễm khuẩn toàn thân hoặc tại chỗ, có bệnh mạn tính điều trị chưa ổn định (tiểu đường, lao, cường giáp...) hay ở vùng đang có bệnh dịch, phụ nữ có thai hoặc đang hành kinh...
7. Biến chứng có thể gặp phải khi cắt amidan
Cắt amidan có thể gây biến chứng tử vong do nhiều nguyên nhân như: phản ứng với thuốc gây mê, cắt không đúng kỹ thuật, cắt chạm mạch máu gây chảy máu không cầm được, bệnh nhân có rối loạn đông máu...Vì vậy trước khi cắt amidan, bệnh nhân cần phải làm các xét nghiệm rất kỹ về các chức năng gan, thận và khả năng đông máu để tránh những tai biến đáng tiếc xảy ra. Nếu có chỉ định cắt amidan, bệnh nhân nên thực hiện tại các bệnh viện có chuyên khoa tai mũi họng, không nên phẫu thuật ở các phòng mạch tư vì rất dễ gặp sự cố.
Sau phẫu thuật cần tuân thủ nghiêm ngặt chế độ ăn uống và vệ sinh răng miệng.
- Sau cắt amidan từ 7 - 10 ngày nếu có chảy máu bệnh nhân cần đến bệnh viện để bác sĩ kiểm tra và xử trí kịp thời.
- Đối với trẻ dưới 5 tuổi và người lớn trên 45 tuổi, nên hạn chế cắt amidan vì trẻ dưới 5 tuổi cắt amidan có thể ảnh hưởng khả năng miễn dịch, người trên 45 tuổi cắt amidan sẽ dễ bị chảy máu do amidan xơ dính hoặc có các bệnh khác kèm theo như: tăng huyết áp, tim mạch, đái tháo đường...
8. Những khó chịu sau khi cắt amidan?
- Đau: sau cắt amidan ngày thứ 2 người bệnh có thể thấy đau hơn ngày đầu. Đau có thể biến mất sau khoảng 5 – 7 ngày. Người bệnh có thể được bác sĩ cho sử dụng một số loại thuốc giảm đau
- Vướng đờm: người bệnh lưu ý không nên khạc, hắng giọng để tránh làm tổn thương vết mổ chưa lành
- Ho: cố gắng kiềm chế cơn ho vì ho nhiều rất dễ khiến chảy máu
- Chảy máu: bong giả mạc sau phẫu thuật cũng có thể gây chảy máu, trong khoảng 15 ngày đầu sau mổ. Trong 5 – 10 ngày đầu, nếu thấy máu chảy ít, có thể tự cầm sau 5 – 10 phút thì không đáng ngại nhưng nếu chảy nhiều và không tự cầm thì bạn cần đến viện kiểm tra ngay.
9. Chế độ dinh dưỡng sau khi cắt amidan?
- Tuyệt đối kiêng các thức ăn : CỨNG – NÓNG – CHUA – CAY
- Sau mổ, ngày đầu tiên chỉ uống sữa, ăn cháo loãng nguội.
- Ngày thứ 2,3: ăn súp nguội, sữa lạnh, cháo loãng.
- Ngày thứ 4 -14: có thể ăn cháo đặc, bún phở,thức ăn mềm...
- Ngày thứ 15 trở đi có thể ăn cơm bình thường.
10. Cắt amidan tại Bệnh viện Nam Thăng Long?
Hiện nay Bệnh viện Nam Thăng Long với đội ngũ bác sĩ Tai Mũi Họng giàu kinh nghiệm, chuyên môn cao cùng các trang thiết bị, máy nội soi Tai Mũi Họng hiện đại sẽ giúp việc khám chữa bệnh nhanh chóng, chính xác và đạt hiệu quả cao nhất. Bệnh viện đã và đang thực hiện phẫu thuật cắt amidal bằng dao điện cho người bệnh .Đây là phương pháp có ưu điểm ít đau, gần như không chảy máu, ít xâm lấn mô xung quanh, thời gian hậu phẫu ngắn.
Phẫu thuật cắt amidan tại bệnh viện Nam Thăng Long cũng được áp dùng thanh toán bằng chế độ bảo hiểm y tế, nhờ đó người bệnh tiết kiệm được tối đa chi phí.
Đi khám và điều trị sớm là cách giúp bạn tránh được những biến chứng do viêm amidan gây ra. Để được tư vấn khám và điều trị bệnh lý Tai Mũi Họng tại Bệnh viện Nam Thăng Long, Quý Khách vui lòng liên hệ TẠI ĐÂY.
Bs. Đỗ Thị Huyền Trang - Khoa Liên chuyên khoa
Tin tức khác cùng chuyên mục
- Khám chữa bệnh các ngày trong tuần từ thứ hai đến thứ 6
Mùa hè:
+ Sáng: 7h30’-12h00’
+ Chiều: 13h30’-17h00’
Mùa Đông:
+ Sáng: 7h30’-12h00’
+ Chiều: 13h00’-16h30’
Đang online: 8
Truy cập hôm nay: 101
Tổng số truy cập: 13222
Bệnh viện Nam Thăng Long
Bệnh viện Nam Thăng Long
